Autor
- Eloísa Santos Armentia y Noelia Silva Priegue
- Departamento de Radiología. Hospital Povisa, Vigo (Pontevedra)
- E-mail: [email protected], [email protected]
Historia Clínica
Mujer de 37 años con amenorrea que ingresa por poliuria y polidipsia. Antecedentes de anemia hemolítica no inmune, esplenectomizada. En tratamiento con metformina.
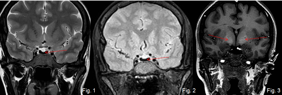
Depósito de hierro en la hipófisis secundario a hemocromatosis secundaria produciendo un hipogonadismo hipogonadotrófico.
COMENTARIO
La hemocromatosis secundaria es una enfermedad caracterizada por el depósito de hierro en el hígado y en otros órganos. El hierro se puede depositar en la hipófisis, ocasionando un hipogonadismo hipogonadotrofo.
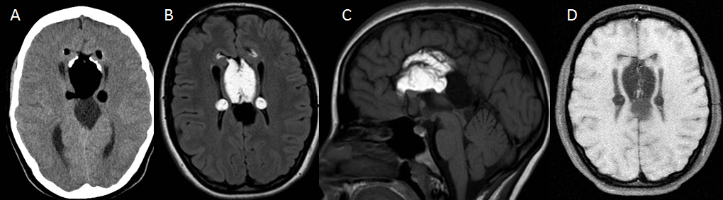
En esta paciente se observa, además del depósito de hierro en la hipófisis, una hiperintensidad de señal de los ganglios basales, hallazgos que pueden ver en la degeneración hepatocerebral adquirida.
Tras la realización de esta RM hipofisaria se le realizaron a la paciente RM de abdomen y de corazón, existiendo también depósito de hierro hepático, pancreático y miocárdico, con diabetes mellitus secundaria.
BIBLIOGRAFÍA
1.Sparacia G, Banco A, Midiri M, Iaia A. MR imaging technique for the diagnosis of pituitary iron overload in patients with transfusion-dependent beta-thalassemia major. AJNR Am J Neuroradiol. 1998 Nov-Dec;19(10):1905-7.
2.Wood JC1, Noetzl L, Hyderi A, Joukar M, Coates T, Mittelman S. Predicting pituitary iron and endocrine dysfunction. Ann N Y Acad Sci. 2010 Aug;1202:123-8
3.Christoforidis A, Haritandi A, Tsitouridis I, Tsatra I, Tsantali H, Karyda S, Dimitriadis AS, Athanassiou-Metaxa M. Correlative study of iron accumulation in liver, myocardium, and pituitary assessed with MRI in young thalassemic patients. J Pediatr Hematol Oncol. 2006 May;28(5):311-5.



