Autor
- Roque Oca Pernas, Eloísa Santos Armentia
- Departamento de Radiología, Hospital Povisa, Vigo (Pontevedra)
- E-mail: [email protected]; [email protected]
Historia Clínica
Paciente de 21 años que acude al Servicio de Urgencias tras sufrir una crisis parcial con generalización tónico-clónica y relajación de esfínteres
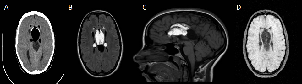
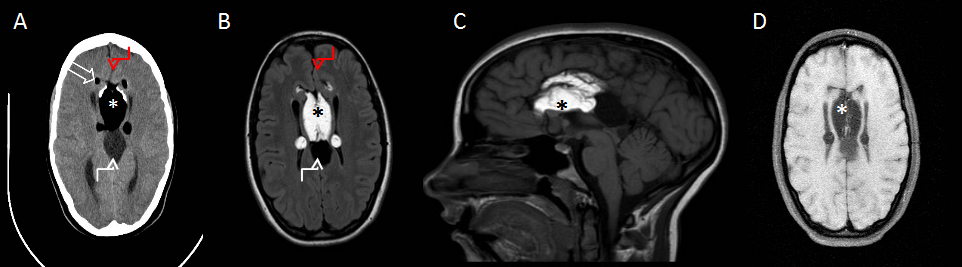
TC axial sin contraste (imagen A): lesión de 4 cm de diámetro máximo y densidad grasa en la cisura interhemisférica (asterisco), con calcificaciones groseras periféricas (flecha hueca). Se evidencia además agenesia del cuerpo calloso (flecha roja) y otra lesión, inmediatamente posterior, bien definida y de densidad similar al LCR (flecha blanca).
RM T1-WI axial y sagital (imagen B y C): lesión hiperintensa en la cisura interhemisférica (asterisco) con septos finos, agenesia del cuerpo calloso (flecha roja) y lesión nodular hipointensa (flecha blanca), localizada más posteriormente.
RM T1-WI fat-sat axial (imagen D): Supresión de la señal de la lesión de mayor tamaño (asterisco), compatible con contenido de grasa.
Diagnóstico
Agenesia completa del cuerpo calloso con lipoma pericalloso túbulo-nodular voluminoso y quiste de la cisura interhemisférica asociado.
Resumen
El lipoma pericalloso es una entidad rara que se encuentra en 1:2.500 – 1:25.000 autopsias, y que suele cursar de forma asintomática y descubrirse incidentalmente en los estudios de imagen. El 50% de los pacientes que presentan clínica debutan con convulsiones.
Existen dos variedades: lipoma pericalloso túbulo-nodular (lesión nodular, de más de 2 cm) y curvilíneo (lesión alargada y fina, de menos de 1 cm de diámetro), siendo la primera la más frecuente y la que se asocia a anomalías más extensas del cuerpo calloso.
El diagnóstico por TC y RM es sencillo, presentándose como una masa extraaxial, bien circunscrita con densidad o intensidad de señal compatible con grasa. Es importante determinar su extensión, la presencia de anomalías asociadas y si existen signos de complicación, sobre todo debidas al efecto masa.
Diagnóstico diferencial
Tumores con contenido graso: dermoide, teratoma, neoplasias con transformación o diferenciación lipomatosa (PNET, ependimoma, meningioma)
Bibliografía
Ickowitz V. Prenatal diagnosis and postnatal follow-up of pericallosal lipoma: report of seven new cases. AJNR Am J Neuroradiol 2001;22:767-72.
Bourekas EC. Lesions of the corpus callosum: MR imaging and differential considerations in adults and children. AJR Am J Roentgenol 2002;179:251-7.



